Sự thật miếng dán trắng răng công dụng có phải thần thánh như lời đồn
Ngày nay, tiêu chuẩn một hàm răng đẹp là phải đều và trắng sáng. Có rất nhiều cách khác nhau để có được một hàm răng trắng sáng. Hiện nay, trên các trang mạng xã hội rầm rộ công dụng tẩy trắng của miếng dán trắng răng. Cùng các chuyên gia bật mí sự thật miếng dán trắng răng có sự công dụng thần kỳ này.

Miếng dán trắng răng đang được sử dụng vô cùng rộng rãi.
Miếng dáng trắng răng là gì?
Việc là trắng răng cũng như vệ sinh răng miệng chưa bao giờ là dễ dàng. Nếu so sánh làm trắng da và trắng răng thì độ khó sẽ thuộc về tẩy trắng răng. Chăm sóc không kỹ lưỡng sẽ dẫn đến hỏng răng mất răng. Và chi phí phục hồi răng vô cùng cao. Nắm bắt được điều này nhiều sản phẩm hỗ trợ vệ sinh răng tẩy trắng răng đã được ra đời. Điển hình là miếng dán trắng răng.
Sản phẩm này phù hợp với tâm lý người tiêu dùng bởi giá thành rẻ, tiện lợi, nhanh chóng. Bạn chỉ cần tiêu chưa tới 1 triệu là có ngay 30 miếng dán trắng răng tiện lợi. Và cách sử dụng chúng vô cùng đơn giản. Và đặc biệt hiệu quả vô cùng nhanh chóng. Vậy sự thật về miếng dán trắng răng có thực đơn giản như vậy? Cùng xem tiếp sự thật miếng dán trắng răng để biết thêm chi tiết ngay dưới đây nhé.

Sản phẩm miếng dán răng được rất nhiều người tin dùng.
Công dụng của miếng dán trắng răng
tương tự như các loại sản phẩm làm trắng răng khác. Miếng dán trắng răng đều có công dụng:
- Hiệu quả tẩy trắng răng nhanh chóng. Sau 10 ngày là răng ố vàng đã có dấu hiệu tẩy trắng rõ rệt.
- Dễ dàng thực hiện, tiện lợi có thể thực hiện mọi lúc mọi nơi.
- Chi cực kì thấp so với các loại khác và dịch vụ ở phòng nha khoa.
- Nguồn gốc xuất xứ từ những nước phát triển như Mỹ, Pháp, Hàn Quốc.
Chính vì những công dụng "tuyệt diệu" và giá thành thấp chúng được rất nhiều người sử dụng. Nhất là giới trẻ do tính tiện lợi.

Hiệu quả miếng dán trắng răng đem lại.
Sự thật miếng dán trắng răng
Để có được hiệu quả nhanh chóng như vậy, các nhà sản xuất miếng dán trắng răng đã thêm vào đấy hợp chất hydrogen peroxide. Theo bác sĩ Nguyễn Hữu Khanh, nguyên Trưởng khoa Răng Hàm Mặt Bệnh viện An Bình, TP HCM cho biết, chất này tác động lên men răng theo cơ chế oxy hóa các phân tử làm ố răng. Hợp chất này có tính năm mòn nhẹ nhưng tiếp xúc trong thời gian dài sẽ không còn "nhẹ". Tại các cơ sở nha khoa, sau khi thực hiện tẩy trắng bằng hợp chất này sẽ dùng 1 loại thuốc chuyên dụng hạn chế tác dụng phụ của hợp chất này. Thế nhưng với những miếng dán trắng răng lại không được như thế. Bởi với tốc độ tẩy trắng nhanh như thế, thì nồng độ hydrogen peroxide chắc hẳn sẽ rất cao. Và chúng không có thuốc hay dụng cụ hỗ trợ giảm nồng độ trên. Xem thêm: Bác sĩ sẽ nói gì về việc lạm dụng nước súc miệng sẽ gây hư răng

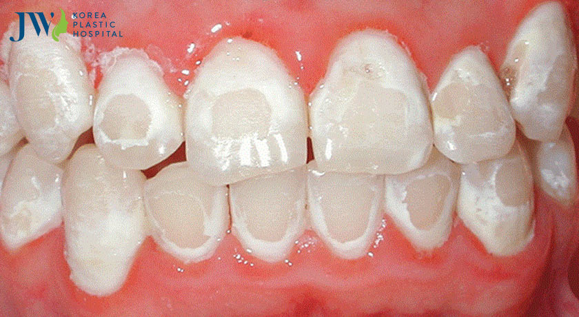
Một nạn nhân của sử dụng sản phẩm này quá nhiều.
Nồng độ Hydrogen peroxide nếu tiếp xúc với bề mặt răng quá nhiều sẽ gây mỏng men răng; hỏng tiếp đến lớp ngà răng và mô liên kết chân răng với nướu. Sử dụng miếng dáng răng với hàm lượng hydrogen peroxide cao sẽ phá vỡ protein collagen sẽ là răng yếu đi. Dần dần răng sẽ có hiện tượng yếu đi rõ rệt nếu dùng thường xuyên.
Không những thế, sử dụng miếng dán trắng răng phải thường xuyên sẽ tăng nguy cơ viêm lợi; mỏng men răng; sưng nướu; chết tủy răng; răng ê buốt là rất cao.

Răng bắt đầu ý đi khi sử dụng những miếng dán này.
Vậy có nên sử dụng miếng dán trắng răng hay không?
Sau khi biết sự thật miếng dán trắng răng nhiều người sẽ có tâm lý e dè không dám sử dụng. Điều này tùy thuộc vào nhu cầu của bạn. Nếu như bạn muốn tẩy trắng răng an toàn thì nên đến các nha khoa để thực hiện. Ngược muốn răng trắng giá rẻ thì có thể áp dụng phương pháp này. Tuy nhiên, hãy cẩn trọng khi sử dụng, nên phối hợp với các sản phẩm bảo vệ răng miệng.
Những lưu ý khi sử dụng miếng dán trắng răng
Đây là những sự thật miếng dán trắng răng giúp người dùng có thể sử dụng một cách an toàn và hiệu quả. Theo các chuyên gia, những miếng dán trắng răng trả kết quả trên 25 ngày có thể sử dụng cho trẻ thành niên từ 12. Tuy nhiên, những miếng dán có tác dụng cấp tốc tuyệt đối không cho trẻ dưới 18 tuổi sử dụng. Và ngay cả những người trưởng thành không nên lạm dụng sản phẩm này.
Bên cạnh đó cũng nên hạn chế sử dụng miếng dán răng trong những trường hợp sau:
- Răng sâu, hở lợi chân răng, viêm lợi và các bệnh về răng miệng chưa được điều trị dứt điểm.
- Răng dán sứ Veneer, răng giả bằng sứ, niềng răng.
- Dị ứng các thành phần của miếng dán.
- Hạn dùng cho người sưới 18 tuổi, phụ nữ có thai và cho con bú.
Khuyến khích các bạn nên đến Nha khoa để khám răng và có những phương pháp điều trị nha khoa để có được hàm răng khỏe mạnh trắng sáng như ý muốn.
Tham khảo nhiều hơn: https://benhvienjw.vn/su-that-mieng-dan-trang-rang-lieu-co-cong-dung-than-thanh-nhu-loi-don.html
