Bọc răng sứ thẩm mỹ – Thanh xuân của những chiếc răng
Bọc răng sứ để bảo vệ răng, cho hàm răng thẩm mỹ hơn. Cuộc sống thường nhật vội vã khiến chúng ta không có thời gian chú tâm đến vấn đề răng miệng. Sinh ra có người bẩm sinh răng đã xấu, răng thưa, mọc lệch, nhưng cũng có trường hợp răng bị sâu do vấn đề vệ sinh, ăn uống. Tuy nhiên lại có người vì thói quen sinh hoạt không tốt khiến răng xỉn màu, hoặc răng bị mòn mèn, viêm tủy do bệnh lý.

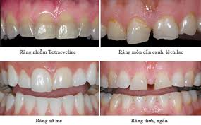
Răng bị thưa, lệch lạc, xỉn màu, sứt mẻ nên bọc răng sứ
Khi ý thức được răng miệng chính là điểm nhấn trên gương mặt mà lại gặp thiếu sót thì rất nhiều người lại lo lắng hoảng sợ tìm giải pháp khắc phục nhanh chóng. được biết tới là phương pháp phục hình răng thông dụng hiện nay, bọc răng sứ không chỉ hỗ trợ chức năng ăn nhai được tốt mà còn đem lại vẻ đẹp thẩm mỹ tự nhiên như ban đầu.
Vì vậy để giải quyết những vấn đề răng miệng mà bạn mắc phải, thì bọc răng sứ là liệu pháp mà giới chuyên gia khuyên dùng hiện nay.
BỌC RĂNG SỨ VÀ QUY TRÌNH THỰC HIỆN.
Hiệu quả mà bọc răng sứ thẩm mỹ mang lại đã chứng minh được chỗ đứng của phương pháp này trong nền y học hiện nay. Vì thế chọn lọc bọc răng sứ sẽ không làm bạn thất vọng cho việc hỗ trợ phục hồi răng hư tổn.
Bọc răng sứ tác động vào răng, bác sĩ sẽ tiến hành tạo cùi răng từ trụ răng thật và lắp một thân răng sứ lên trên nhằm bảo vệ răng thật và mang lại nét đẹp tự nhiên như thật.

Quy trình thực hiện bọc răng sứ
Quá trình bọc răng sứ được thực hiện như sau: Đầu tiên bác sĩ sẽ tư vấn tình trạng răng cho bệnh nhân hiểu rõ, sau đó tiến hành lấy dấu răng hàm để chế tác khuôn và mão răng sứ, rồi gửi mẫu dấu hàm bằng Labo để chế tác răng sứ nhờ công nghệ CAD/CAM. Tiếp theo là mài cùi răng sao cho tỉ lệ được chính xác, vừa khít khi bọc răng sứ vào. Bước nữa là đeo răng tạm trong quá trình chờ đợi chế tác mão răng sứ, giúp việc ăn nhai không bị gián đoạn. Tiến hành bọc răng sứ, quá trình thực hiện này đòi hỏi phải tỉ mỉ sao cho các mão rắng sứ gắn lên răng được chắc chắn. Cuối cùng là tái khám theo khuyên nhủ của bác sĩ.
Thực hiện đúng quy trình như trên, việc bạn sở hữu một hàm răng trắng đều, chắc chắn, có thể ăn nhai mọi loại thức ăn là điều hết sức dễ dàng.
ƯU ĐIỂM CỦA PHƯƠNG PHÁP BỌC RĂNG SỨ THẨM MỸ
– Những trường hợp răng bị xấu, thưa thớt, mọc lêch hay răng bị sâu, chết tủy thì bọc răng sứ là biện pháp khá hữu ích cho các tình trạng này.
– Bọc răng sứ là biện pháp giúp khắc phục tình trạng răng bị xỉn màu gây mất thẩm mỹ khi cười, nói hiệu quả hơn các phương pháp hiện nay. Vì màu sắc của răng sứ như tự nhiên như răng thật, nên người bệnh có thể yên tâm mà sử dụng.
– Còn những trường hợp răng bị sâu hoặc răng đã chữa tủy thì bọc răng sứ là biện pháp giúp bảo vệ mô răng thật không bị vi khuẩn xâm nhập.

Bọc răng sứ hỗ trợ chức năng ăn nhai được tốt hơn
– Ngoài ra, bọc răng sứ giúp chỉnh sửa lại các khớp cắn bị lệch hiệu quả, hỗ trợ chức năng ăn nhai được tốt hơn.
– Độ bền của bọc rắng sứ thẩm mỹ có thể sử dụng được từ 7 -10 năm.
– Chi phí khá thấp, nên thích hợp với túi tiền của mỗi người.

Hình ảnh trước và sau khi bọc răng sứ thẩm mỹ
Răng bạn đang hư tổn và cần khắc phục nhanh chóng thì bọc răng sứ là phương pháp chọn lựa tối ưu hiệu quả. Và để đạt được kết quả như mong muốn thì việc chọn lựa địa chỉ y tế cũng là yếu tố quyết định. Hiện nay, nha khoa Nha Khoa Bệnh Viện JW Hàn Quốc Hàn Quốc là cơ sở thẩm mỹ được nhiều người biết đến, với sự kết hợp giữa đội ngũ bác sĩ chuyên khoa giỏi và hệ thống trang thiết bị hiện đại đã mang đến những thành công nhất đinh cho việc bọc răng sứ thẩm mỹ.
